Пластика вуздечки язика
У роті дитини за замовчуванням є три вуздечки – вуздечка язика і вуздечка губи (верхньої та нижньої), які є складками слизової оболонки та зазвичай розташовуються по середній лінії. Вони допомагають губам та язику додатково закріплюватися до щелепи.
Проте іноді вони можуть бути укорочені або мати низьке прикріплення з народження. Це може викликати проблеми із харчуванням, порушенням мови та, з часом, естетичні дефекти. Для запобігання цьому рекомендується вчасно провести просту і ефективну процедуру – пластику вуздечки.
Як помітити проблему з вуздечкою язика ?
Отримавши певні сигнали, можна підозрювати проблему з вуздечкою язика. Ось деякі з них:
У дітей грудного віку:
- Якщо дитина має важкості з захопленням соска або відвертається від грудей або пляшок.
- Малюк не може повноцінно смоктати мамині груди/пляшку з сумішшю, швидко втомлюється і відвертається.
- Немовля часто просить їсти, але їсть при цьому не довго.
- Якщо дитина не набирає вагу належним чином або втрачає вагу.
У старших дітей:
- скученість передніх нижніх зубів;
- є логопедичні проблеми (не вимовляє деякі літери та звуки, наприклад літеру “р”);
- затримка росту та розвитку нижньої щелепи, формування неправильного прикусу.
На коротку вуздечку можуть вказувати деякі інші зміни в ротовій порожнині:
- розгорнуті всередину нижні різці;
- роздвоєний кінчик язика і поглиблення на його поверхні при витягуванні;
- неможливість дістати язиком до піднебіння, облизувати губи чи вийняти його межі рота;
- язик здається горбатим;
- проблеми із вживанням твердої їжі: щоб проковтнути, потрібно класти на задню частину язика;
- дитина не може «поцокати» язиком.
Що робити, якщо виявили вкорочену вуздечку?
Якщо ви помітили, що ваш малюк неспокійно поводиться біля грудей, вередує і погано набирає вагу, це може бути пов’язано з короткою вуздечкою язика. У такому випадку важливо звернутися за консультацією до педіатра, оскільки це одна з найпоширеніших причин проблем з годуванням. Педіатр може направити дитину до досвідченого стоматолога для оцінки ситуації.
Якщо проблеми з годуванням не було, але коротка вуздечка язика виявляється пізніше, наприклад, у віці 4-5 років, коли дитина починає мати проблеми з вимовою звуків, то важливо звернутися до логопеда. Логопед зможе оцінити ситуацію та, при необхідності, направити вас до лікаря-ортодонта та хірурга-стоматолога для подальшої оцінки і можливого лікування.
В якому віці найкраще робити пластику вуздечки язика?
Якщо укорочена вуздечка язика виявляється від народження або у віці 1-2 місяці, ми рекомендуємо не відкладати процедуру. Це дозволить дитині повноцінно харчуватися, набирати вагу і розвиватися без перешкод. Процедура може бути корисною для полегшення годування та попередження можливих проблем з вимовою звуків у майбутньому.
У старших дітей рекомендується проводити процедуру з 4-5 років, коли виявляються проблеми з вимовою або інші симптоми, які можуть вказувати на укорочену вуздечку язика. Раннє вжиття заходів може допомогти у вирішенні проблем та попередженні подальших ускладнень.
Що буде, якщо не зробити операцію вчасно?
Підрізання короткої вуздечки язика у дітей – це не лише естетична процедура, оскільки цей дефект зазвичай не впливає на зовнішність. деякі батьки помилково вважають, що проведення цієї процедури не є обов’язковим і тому відкладають візит до лікаря або навіть відмовляються від пластики. однак ігнорування цієї патології може призвести до ряду неприємних ускладнень:
- неправильний прикус, який можна виправити тільки тривалим і часто болючим ортодонтичним лікуванням;
- порушення дикції, такі як картавість і шепелявість;
- часта поява стоматологічних захворювань, оскільки значно підвищується ризик пошкодження ясен та пародонту;
- поява звичок у процесі прийому їжі, що є компенсаторною реакцією організму на вкорочену вуздечку;
- психологічний дискомфорт, особливо в підлітковому періоді, через порушення звуковідтворення, що може призвести до розвитку комплексів у дитини;
- скупчення передніх нижніх зубів;
- рецесія ясен в області передніх зубів.
Тому важливо вчасно виявляти цей дефект та проводити пластику вуздечки для попередження подальших ускладнень.
Як проходить процедура пластики вуздечки язика в Multident?
- У «Мультидент» пластика вуздечки проходить максимально комфортно для малюків.
- Мама разом із малюком зручно розташовується у кріслі стоматолога, лікар проводить огляд дитини та докладно розповідає про майбутню маніпуляцію.
- Сама процедура займає лише кілька секунд.
- Малюку не потрібно анестезія і накладання швів, тому що вуздечка ще тоненька як плівочка і процедура абсолютно безболісна.
- Заспокоїтися йому допомагає прикладання до материнських грудей або пляшечки із сумішшю.
- У віці 4-5 років процедура проходить інакше, але це також абсолютно безболісно і особливо не помітно для дитини, якщо виконувати наші рекомендації.
- Операція завжди проводиться лише після адекватного знеболювання.
- Зазвичай проводять місцеву анестезію за допомогою безпечних анестетиків і в додатку з седацією (дитина у свідомості, дихає масочкою зі смачним запахом морозива, нічого не відчуває і знаходиться в стані легкої ейфорії під дією закису азоту з киснем).
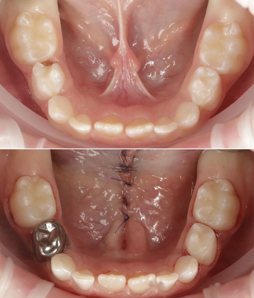
- Лікар після дії анестезії підрізає вуздечку скальпелем, потім накладає косметичний шов. Шви після операції розсмоктуються самостійно через 7-10 днів.
- Процедура займає 10-20 хвилин.
Як правило, у клініку пацієнта направляє логопед, який працює з дитиною над постановкою звуків. У такому випадку ми проводимо пластику і через 1-2 тижні після неї заняття з логопедом відновлюються і мають значно більший ефект.
Якщо дитина не йде на контакт з лікарем у віці 4-5 років, а процедуру все ж потрібно зробити – нам допоможе медикаментозний сон. Ми можемо організувати одночасно прийом 2 спеціалістів, щоб за одне введення дитини в сон і зубки пролікували і вуздечку підкоригували.
Післяопераційна терапія
Після проведення френулопластики діти вже на 2-3-й день можуть не скаржитися на біль. Через 10 днів після операції дитина зазвичай повертається в нормальний ритм життя і вже не відчуває біль або дискомфорт.
Для швидшого загоєння рани необхідно дотримуватися деяких простих правил:
- В перший день після операції дотримуватися «режиму мовчання» (зовсім не розмовляти не вийде, але постаратися звести розмови до мінімуму).
- Протягом 2-х годин після операції утриматися від їжі.
- При виникненні болючих відчуттів необхідний прийом знеболювальних препаратів, рекомендованих хірургом стоматологом.
- Протягом перших 5-7 днів після прийому їжі рекомендовано обробляти операційну рану (наприклад, хлоргексидином 0.05% та Tebodont гелем).
- Протягом 5-7 днів після пластики вуздечки язика виключити жорстку, гарячу, гостру їжу.
- Продовжити ортодонтичне лікування чи заняття з логопедом можна через 7-10 днів лише після огляду хірурга стоматолога.
Завдяки дитячому віку та високій регенерації слизової оболонки порожнини рота, процес відновлення проходить досить швидко.
Лікуючі лікарі
Наші роботи
Всі роботи
Діагноз: Лікування 16 зубів в медикаментозному сні.
Дмитро, 3 роки 4 місяці
Діагноз: Лікування 12 зубів в медикаментозному сні.
Аліна, 3 роки
Діагноз: Лікування 4 зубів в медикаментозному сні.
Іван, 4 роки
Діагноз: Лікування 20 зубів в медикаментозному сні.
Сергій, 2 роки 4 місяці
Діагноз: Лікування 12 зубів в медикаментозному сні.
Лев, 3 роки
Діагноз: Лікування 14 зубів в медикаментозному сні.
Олексій, 3 роки
Діагноз: Лікування 10 зубів в медикаментозному сні.
Давид, 2 роки
Діагноз: Лікування 12 зубів в медикаментозному сні.
Леонардо, 3 роки
Діагноз: Лікування 10 зубів в медикаментозному сні.
Вітя, 2 роки

