Дитячий стоматолог Буценко Дарія Віталіївна стоматологія Multident ...
Буценко Дарія Віталіївна

Буценко Дарія Віталіївна

Спеціалізація Дитячий стоматолог
Клінічний стаж 9 років
Освіта Харківський національний медичний університет

Вітаю. Мене звати  Дарія і я один із дитячих стоматологів клініки Мультидент, який працює з першого дня відкриття.

Основне у своєму покликанні можу сказати – у мене були кращі вчителі і я дуже рано визначилася з напрямком, завдяки цьому одна з перших на своєму потоці почала вести прийом.

В університеті-це був натхнений викладач.  А в клініках, де я працювала асистентом, це були неймовірно амбіційні та досвідчені дитячі лікарі.

Проте, у світі стоматологів,  дитячий прийом  вважався найпроблемнішим і багато хто старався уникати його. Як каже,  один відомий дитячий стоматолог : «Це мікрохірургія на предметах, що рухаються». Але я завжди знала,що буду працювати тільки з дітьми,адже цей внутрішній обмін енергіями мені допомагає знаходити  спільну мову з ними. І я зрозуміла «хто якщо не я». Мені пощастило бути біля витоків багатьох нововведень, якими користуюся у своїй практиці вже багато років!

Однак до дітей потрібно підходити тільки з бажанням.

Ми вкладаємо багато в дитячі голови.Як важливо дати зрозуміти маленькій ЛЮДИНІ, що його думка необхідна та важлива.

Тому я не лікую дітей з утриманням, я не змушую. Я домовляюся!

Моя фраза, з якої я  починаю знайомство з дитиною-це:«Без твого дозволу я робити нічого не буду». Так і є!

Тому кожен мій пацієнт-мій хороший друг, який іноді може сказати мені трохи більше, ніж будь-кому.

Тут я відчуваю відповідальність за світогляд дитини.

І я вірю, що мої маленькі друзі, коли виростуть будуть говорити: «А ось мені пощастило зі своїм стоматологом в дитинстві»

корисна інформація

Роботи
Сертифікати
Статті
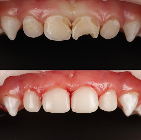
Єгор 3 роки Лікування 14 зубів у медикаментозному сні. Реставрації передніх зубів

Діагноз: Лікування 14 зубів у медикаментозному сні. Реставрації передніх зубів

Єгор, 3 роки

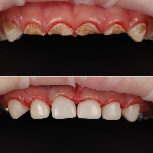
Артур 4 роки Лікування 16 зубів у медикаментозному сні . Передні зуби покриті цирконієвими коронками

Діагноз: Лікування 16 зубів у медикаментозному сні. Передні зуби покриті цирконієвими коронками

Артур, 4 роки

Ганна 5 років Лікування 12 зубів в медикаментозному сні . Передні 2 зуби видалили через гнійний процес в кістці . 2ки відновили цирконієвими коронками

Діагноз: Лікування 12 зубів в медикаментозному сні. Передні 2 зуби видалили через гнійний процес в кістці. 2ки відновили цирконієвими коронками.

Ганна, 5 років

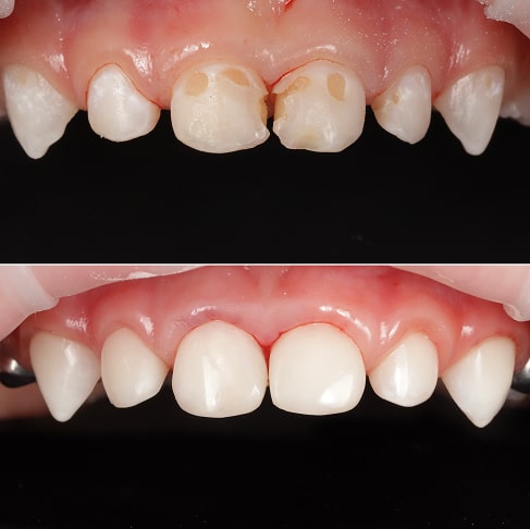
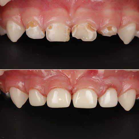
Амелія 2 роки Лікування 8 зубів в медикаментозному сні. Передні зуби відновлені реставраціями

Діагноз: Лікування 8 зубів в медикаментозному сні. Передні зуби відновлені реставраціями

Амелія, 2 роки

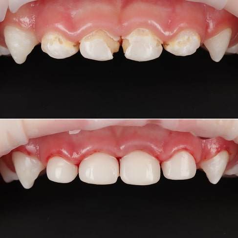
Тарас 3 роки Лікування 8 зубів , герметизація фісур у 4 зубах, реставрація передніх зубів . В медикаментозному сні .

Діагноз: Лікування 8 зубів, герметизація фісур у 4 зубах, реставрація передніх зубів. В медикаментозному сні.

Тарас, 3 роки

Агата 4 роки Лікування 16 зубів в медикаментозному сні . Передні зуби відновлені цирконієвими коронками

Діагноз: Лікування 16 зубів в медикаментозному сні. Передні зуби відновлені цирконієвими коронками

Агата, 4 роки

10 порад щодо догляду за дитячими зубами

Чому правильний догляд за зубами такий важливий? Здоров’я зубів впливає не тільки на

Чому важливі молочні зуби?

Молочні зуби – це не просто тимчасовий етап, а важливий фудамент для майбутнього

Як змінюється молочний зуб із коронкою?

Вся справа в тому, що зуб не змінюється в розмірах у ширину, лише

Причини виникнення карієсу, фактори які впливають на розвиток карієсу

Одне з найчастіших питань від батьків: чому у нас з’явився карієс, адже дитина

Чи варто ставити кольорові пломби. Недоліки та ризики кольорових пломб

Чому не варто ставити кольорові пломби дитині? Кольорові пломби дійсно дуже подобаються дітям

До чого може призвести раннє видалення молочного зуба?

Іноді батькам здається, що одним зубом більше чи менше, великої ролі для дитини

Більше статей

Послуги Лікаря

Запис на прийом

form image

Відгуки в Google наших пацієнтів

Дякуємо за звернення!

Очікуйте дзвінка від адміністратора найближчим часом

Заповніть форму, щоб отримати консультацію онлайн

Зняття гострого болю

Запис до лікаря

Запис на консультацію