Архив Роботи - Page 22 of 23 - Multident ...

Наші роботи

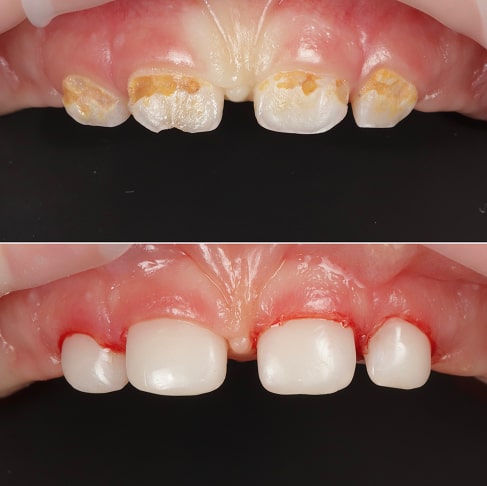
Матвій 1,3 роки. Лікування передніх 4 зубів , відновили цирконієвими коронками та герметизація фісур  2х  зубів у медикаментозному сні

Діагноз: Лікування передніх 4 зубів, відновили цирконієвими коронками та герметизація фісур 2х зубів у медикаментозному сні.

Матвій, 1.3 роки

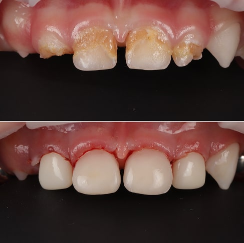
Ліза 1,5 роки. Лікування 4 зубів у медикаментозному сні . Передні зуби відновлені реставраціями

Діагноз: Лікування 4 зубів у медикаментозному сні. Передні зуби відновлені реставраціями

Ліза, 1.5 роки

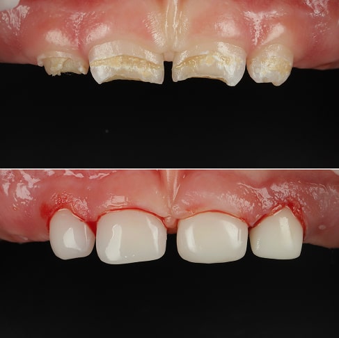
Микита 1,5 роки. Лікування передніх 4 зубів , відновлені реставраціями та коронками . Також загерметизували фісури в 4 зубах

Діагноз: Лікування передніх 4 зубів, відновлені реставраціями та коронками. Також загерметизували фісури в 4 зубах

Микита, 1.5 роки

Андрій 1,5 роки Лікування 8 зубів у медикаментозному сні . Передні зуби відновлені коронками та реставраціями

Діагноз: Лікування 8 зубів у медикаментозному сні. Передні зуби відновлені коронками та реставраціями

Андрій, 1.5 роки

Агата 4 роки Лікування 16 зубів в медикаментозному сні . Передні зуби відновлені цирконієвими коронками

Діагноз: Лікування 16 зубів в медикаментозному сні. Передні зуби відновлені цирконієвими коронками

Агата, 4 роки

Тарас 3 роки Лікування 8 зубів , герметизація фісур у 4 зубах, реставрація передніх зубів . В медикаментозному сні .

Діагноз: Лікування 8 зубів, герметизація фісур у 4 зубах, реставрація передніх зубів. В медикаментозному сні.

Тарас, 3 роки

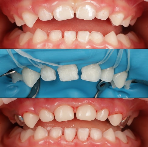
Амелія 2 роки Лікування 8 зубів в медикаментозному сні. Передні зуби відновлені реставраціями

Діагноз: Лікування 8 зубів в медикаментозному сні. Передні зуби відновлені реставраціями

Амелія, 2 роки

Ганна 5 років Лікування 12 зубів в медикаментозному сні . Передні 2 зуби видалили через гнійний процес в кістці . 2ки відновили цирконієвими коронками

Діагноз: Лікування 12 зубів в медикаментозному сні. Передні 2 зуби видалили через гнійний процес в кістці. 2ки відновили цирконієвими коронками.

Ганна, 5 років

Артур 4 роки Лікування 16 зубів у медикаментозному сні . Передні зуби покриті цирконієвими коронками

Діагноз: Лікування 16 зубів у медикаментозному сні. Передні зуби покриті цирконієвими коронками

Артур, 4 роки

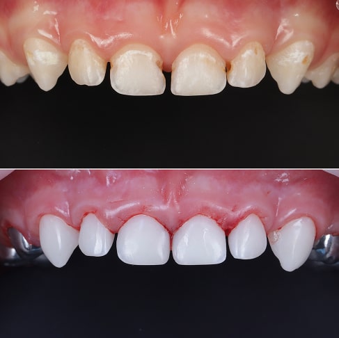
Єгор 3 роки Лікування 14 зубів у медикаментозному сні. Реставрації передніх зубів

Діагноз: Лікування 14 зубів у медикаментозному сні. Реставрації передніх зубів

Єгор, 3 роки

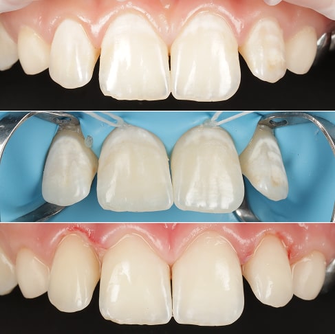
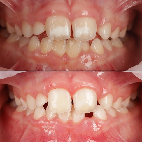
Реставрація переднього різця

Діагноз: Реставрація переднього різця

Пацієнту 8 років

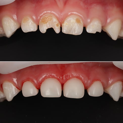
Лікування контактного карієсу (між зубами)

Діагноз: Лікування контактного карієсу (між зубами)

Пацієнту 14 років

Відгуки в Google наших пацієнтів

Заповніть форму, щоб отримати консультацію онлайн

Зняття гострого болю

Запис до лікаря

Запис на консультацію

Дякуємо за звернення!

Очікуйте дзвінка від адміністратора найближчим часом