Архив Роботи - Page 21 of 23 - Multident ...

Наші роботи

Віка, 4 роки. Лікування карієсу передніх зубів без наркозу

Діагноз: Лікування карієсу передніх зубів без наркозу

Віка, 4 роки

Нікіта, 5 років. Лікування пульпіту та карієсу

Діагноз: Лікування пульпіту та карієсу

Нікіта, 5 років

Вероніка, 4 роки. Пролікували карієс на контактних поверхнях передніх зубів.

Діагноз: Пролікували карієс на контактних поверхнях передніх зубів.

Вероніка, 4 роки

Давид, 6 років. Лікування зуба 63 з глибоким карієсом

Діагноз: Лікування зуба 63 з глибоким карієсом

Давид, 6 років

Мирослава, 3 роки. Лікування зубів в наркозі

Діагноз: Лікування зубів в наркозі

Мирослава, 3 роки

Мирослава, 3 роки. Лікування зубів в наркозі

Діагноз: Лікування зубів в наркозі

Мирослава, 3 роки

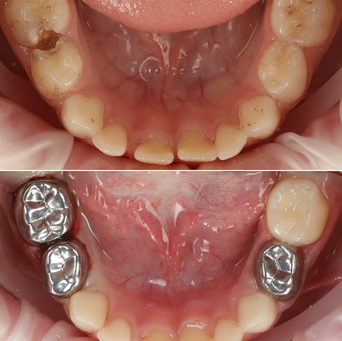
Аліція, 7 років. Лікування в наркозі 10 зубів і 2 видалили

Діагноз: Лікування в наркозі 10 зубів і 2 видалили

Аліція, 7 років

Аліція, 7 років. Лікування в наркозі 10 зубів і 2 видалили

Діагноз: Лікування в наркозі 10 зубів і 2 видалили

Аліція, 7 років

Інді, 6 років. Лікування передніх зубів системою Icon

Діагноз: Лікування передніх зубів системою Icon

Інді, 6 років

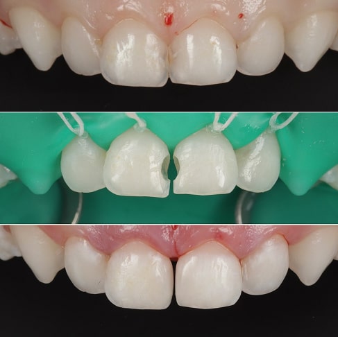
Давид, 9 років. Лікування передніх зубів системою Icon

Діагноз: Лікування передніх зубів системою Icon

Давид, 9 років

Ганна, 4 роки. Лікування передніх зубів у медикаментозному сні. Відновлені реставраціями.

Діагноз: Лікування передніх зубів у медикаментозному сні. Відновлені реставраціями.

Ганна, 4 роки

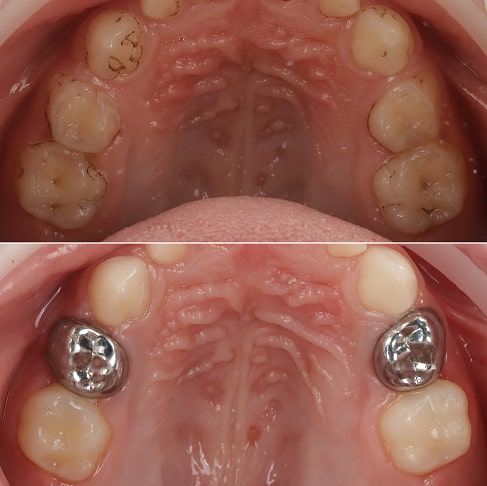
Кирило 4,5 років. Лікування 16 зубів у медикаментозному сні, передні зуби відновили реставраціями

Діагноз: Лікування 16 зубів у медикаментозному сні, передні зуби відновили реставраціями

Кирило, 4.5 років

Відгуки в Google наших пацієнтів

Заповніть форму, щоб отримати консультацію онлайн

Зняття гострого болю

Запис до лікаря

Запис на консультацію

Дякуємо за звернення!

Очікуйте дзвінка від адміністратора найближчим часом