Архив Работы - Страница 21 из 24 - Multident

Наши работы

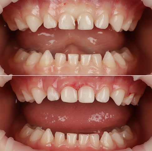
Лиза, 4 года. Реставрация передних зубов без наркоза

Диагноз: Реставрация передних зубов без наркоза

Лиза, 4 года

Дарий, 6 лет. Лечение жевательных зубов, пластика уздечек языка под наркозом

Диагноз: Лечение жевательных зубов, пластика уздечек языка под наркозом

Дарий, 6 лет

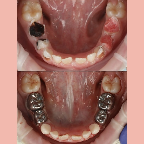
Дарий, 6 лет. Лечение жевательных зубов под наркозом

Диагноз: Лечение жевательных зубов под наркозом

Дарий, 6 лет

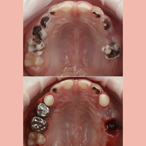
Мирослава, 6 лет. Пролечили жевательные зубы под наркозом, один удалили, в жевательных лечили нерв, а также отреставрировали клыки. В верхних клыках тоже пришлось лечить нерв.

Диагноз: Пролечили жевательные зубы под наркозом, один удалили, в жевательных лечили нерв, а также отреставрировали клыки. В верхних клыках тоже пришлось лечить нерв.

Мирослава, 6 лет

Мирослава, 6 лет. Лечение всех зубов под наркозом

Диагноз: Лечением всех зубов под наркозом

Мирослава, 6 лет

Катя, 2,5 года. Лечение передних зубов и четверок верхних без наркоза

Диагноз: Лечение передних зубов и четверок верхних без наркоза

Катя, 2,5 года

Катя, 2,5 года. Лечение передних зубов и четверок верхних без наркоза

Диагноз: Лечение передних зубов и четверок верхних без наркоза

Катя, 2,5 года

Кира, 6 лет. Лечение всех жевательных зубов без наркоза

Диагноз: Лечение всех жевательных зубов без наркоза

Кира, 6 лет

Кира, 6 лет. Лечение всех жевательных зубов без наркоза

Диагноз: Лечение всех жевательных зубов без наркоза

Кира, 6 лет

Вика, 4 года. Лечение кариеса передних зубов без наркоза

Диагноз: Лечение кариеса передних зубов без наркоза

Вика, 4 года

Никита, 5 лет. Лечение пульпита и кариеса

Диагноз: Лечение пульпита и кариеса

Никита, 5 лет

Вероника, 4 года. Пролечили кариес на контактных поверхностях передних зубов.

Диагноз: Пролечили кариес на контактных поверхностях передних зубов.

Вероника, 4 года

Отзывы в Google наших пациентов

Заполните форму, чтобы получить консультацию онлайн

Снятие острой боли

Запись к врачу

Запись на консультацию

Спасибо за обращение!

Ожидайте звонка от администратора в ближайшее время