Архив Работы - Страница 20 из 24 - Multident ...

Наши работы

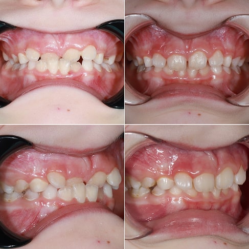
Ксения, 8 лет. Сужение верхней и нижней челюсти, значительная степень скученности зубов верхней и нижней челюсти.

Диагноз: Сужение верхней и нижней челюсти, значительная степень скученности зубов верхней и нижней челюсти. Установили аппарат для расширения верхней челюсти как 1 этап лечения, создали место для прорезывания фронтальной группы зубов верхней челюсти, благодаря чему улучшилось положение резцов нижней челюсти без какого-либо вмешательства.

Ксения, 8 лет

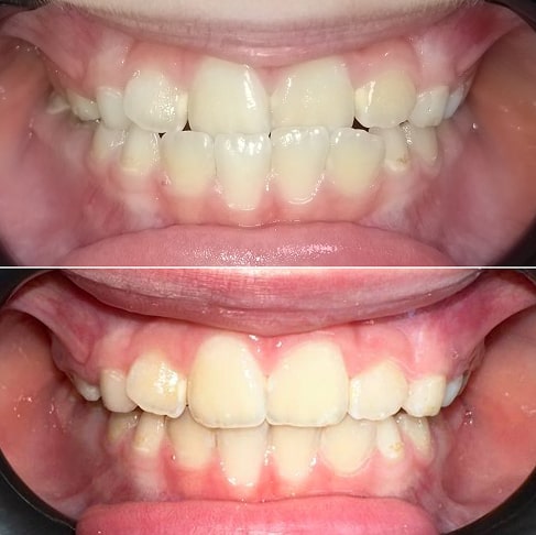
Вероника, 8 лет. Видна значительная степень скученности зубов как верхней, так и нижней челюсти.

Диагноз: Видим значительную степень скученности зубов как верхней, так и нижней челюсти. «Двойкам» места не хватило, поэтому они начали прорезаться несколько выше центральных резцов. Расширили, создали место, дальше работаем с глубоким прикусом (когда передние верхние зубы закрывают собой более 2/3 нижних).

Вероника, 8 лет

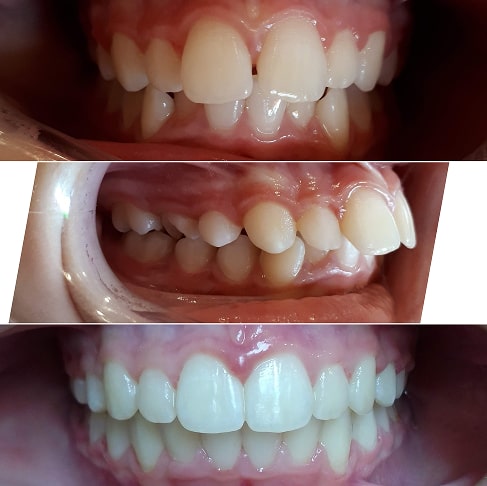
Виктория 8,5 лет. Неправильное соотношение между зубами верхней и нижней челюсти.

Диагноз: Неправильное соотношение между зубами верхней и нижней челюсти. Нижние зубы спереди перекрывают верхние. Это задерживает развитие верхней челюсти во фронтальной области и приводит к ее деформации. Со временем такая ситуация, если ее не исправлять, отразится на внешних чертах лица девочки и на ее профиле. Ситуация исправлена, челюсти будут развиваться в правильном направлении.

Виктория, 8,5 лет

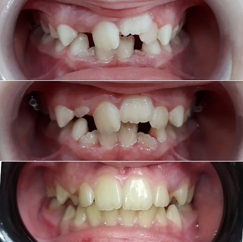
Оксана 8 лет. Неправильное соотношение зубов в фронтальной области верхней и нижней челюсти.

Диагноз: Неправильное соотношение зубов во фронтальной области верхней и нижней челюсти. Такое соотношение зубов и неудовлетворительная эстетика улыбки не будет устраивать девочку в будущем и сформирует нефизиологический прикус в целом. Ситуация исправлена за 3 месяца.

Оксана, 8 лет

Милана, 8 лет. Выраженный дефицит места для прорезывания зубов.

Диагноз: Выраженный дефицит места для прорезывания зубов. Если данное нарушение прорезывания зубов оставить без внимания, это приведет в будущем не только к неудовлетворительной эстетике улыбки, но и деформации альвеолярного отростка, деформации челюстей и заболеваниям тканей пародонта, когда десны воспаляются, становятся отечными, у зубов появляется подвижность. Ситуация исправлена с применением расширяющего аппарата и частичной брекет-системы 2х4.

Милана, 8 лет

Артем, 9 лет. Переднее положение нижней челюсти, составляющее функциональный и эстетический дефект.

Диагноз: Переднее положение нижней челюсти, составляющее функциональный и эстетический дефект. Нормализация положения нижней челюсти дает возможность ребенку нормально питаться, развиваться, сохранять и приобретать красивые естественные черты лица. Время лечения 6 мес.

Артем, 9 лет

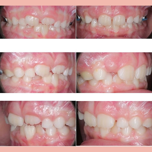
Виолетта, 7,5 лет. Выраженный дефицит места для прорезывания постоянных зубов.

Диагноз: Выраженный дефицит места для прорезывания постоянных зубов. Был проведен 1-й этап ортодонтического лечения, разблокировка нижней челюсти, расширение верхней челюсти и создание места для прорезывания постоянных зубов. После завершения прорезывания всех постоянных зубов запланировано финишное выравнивание зубов.

Виолетта, 7,5 лет

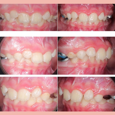
Мария, 11 лет. Сужение верхней и нижней челюсти, выраженная скученность зубов на верхней и нижней челюстях, неправильный наклон верхних передних зубов.

Диагноз: Сужение верхней и нижней челюсти, выраженная скученность зубов на верхней и нижней челюстях, неправильный наклон верхних передних зубов. Исправили положение зубов и прикус с помощью брекет-системы за 1,5 года.

Мария, 11 лет

Маргарита, 9 лет. Неправильное положение нижней челюсти, составляющее функциональный и эстетический дефект.

Диагноз: Неправильное положение нижней челюсти, составляющее функциональный и эстетический дефект. После нормализации положения челюстей девочка может правильно и достаточно разжевывать пищу, в дальнейшем прикус будет формироваться правильно. После прорезывания всех постоянных зубов запланировано окончательное выравнивание зубов.

Маргарита, 9 лет

Екатерина, 10 лет. Неправильное переднее положение нижней челюсти, нижние зубы во фронтальной области перекрывают верхние, что сказывается на профиле девочки.

Диагноз: Неправильное переднее положение нижней челюсти, нижние зубы во фронтальной области перекрывают верхние, что сказывается на профиле девочки. После коррекции положения челюсти изменился профиль лица девочки. На 2-м этапе ортодонтического лечения планируется окончательная коррекция положения зубов и прикуса. Изменения на лице ребенка произошли за 6 месяцев.

Екатерина, 10 лет

Герман, 5 лет. Лечение жевательных зубов и удаление под наркозом. Проводили лечение в 2 этапа.

Диагноз: Лечение жевательных зубов и удаление под наркозом. Проводили лечение в 2 этапа

Герман, 5 лет

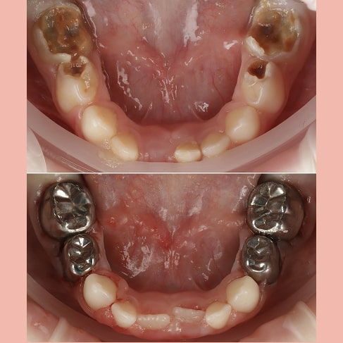
Герман, 5 лет. Лечение жевательных зубов и удаление под наркозом. Проводили лечение в 2 этапа.

Диагноз: Лечение жевательных зубов и удаление под наркозом. Проводили лечение в 2 этапа

Герман, 5 лет

Отзывы в Google наших пациентов

Заполните форму, чтобы получить консультацию онлайн

Снятие острой боли

Запись к врачу

Запись на консультацию

Спасибо за обращение!

Ожидайте звонка от администратора в ближайшее время