Дитячий стоматолог Архипенко Марія Вікторівна стоматологія Multident ...
Архипенко Марія Вікторівна

Архипенко Марія Вікторівна

Спеціалізація Лікар-ортодонт
Клінічний стаж 4 роки 
Освіта Національний медичний університет ім. О. О. Богомольця

Вітаю! Мене звати Марія, я лікар-ортодонт. Моя спеціальність це поєднання медицини, естетики посмішки та турботи про гармонійний розвиток щелеп.

Ортодонтом я мріяла стати ще з 8 класу, і з тих пір послідовно йшла цим шляхом. Уже з другого курсу університету я почала працювати разом із провідними ортодонтами, дивилась особливості їх прийому і здобувала безцінний практичний досвід. Цей досвід дав мені можливість впевнено розпочати власний прийом і сформувати свій підхід у роботі з пацієнтами.

Особливо велике місце в моєму серці займає дитяча ортодонтія. Саме в дитячому віці ми можемо впливати не тільки на положення зубів, а й на правильне формування кісток щелеп, дихання, ковтання та навіть поставу. Дитяча ортодонтія це не просто “вирівняти зубчики”, а створити усі умови для гармонійного розвитку дитини. Завдяки правильному втручанню ми можемо уникнути складного лікування в майбутньому або звести його до мінімуму.

Моя головна мета це зробити так, щоб у майбутньому дитині не довелося проходити складне й довготривале лікування. Чим раніше ми починаємо, тим простіше та комфортніше досягаємо результату.

Я вірю, що кожна дитина заслуговує на здорову, щиру посмішку, яка дарує впевненість у собі. І саме ортодонтія допомагає створити всі умови для гармонійного розвитку моїх улюблених маленьких пацієнтів.

корисна інформація

Роботи
Сертифікати
Статті
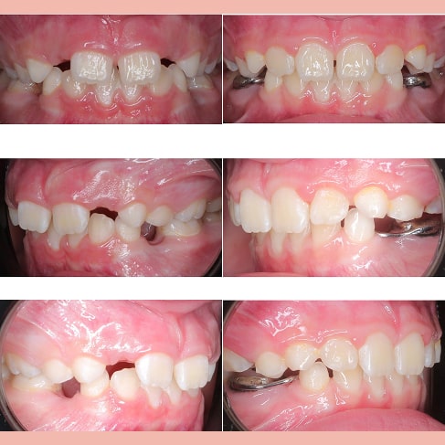
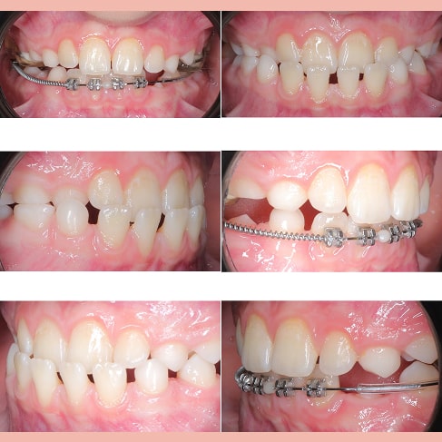
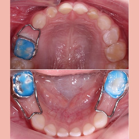
Христина, 7 років. Звуження верхньої щелепи та передчасна втрата зубів

Діагноз: Тут ми мали дві проблеми - звуження верхньої щелепи та передчасна втрата зубів, тому встановлювали 3 апарати, один - для розширення на верхню щелепу(Marco Rossa), та два тримачі місця (Space Maker) Верхню щелепу розширили, створили місце для постіних зубів та тепер чекаємо на прорізування зубів, яким тримали місце. Важливо вчасно привести дитину до ортодонта щоб ми могли мінімальними втручаннями зробити усі умови для правильного росту щелеп та зубів.

Христина, 7 років

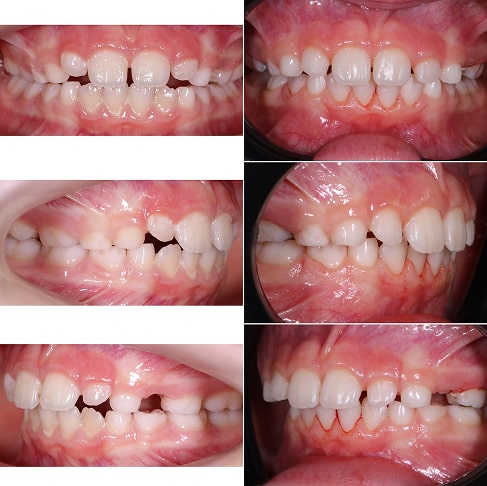
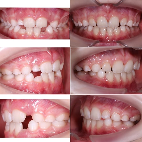
Серафіма, 7 років. Дефіцит місця, звуження верхньої та нижньої щелеп, та відкритий прикус

Діагноз: Дефіцит місця, звуження верхньої та нижньої щелеп, та відкритий прикус (вертикальна щілина між верхніми та нижніми зубами), який формується від порушень дихання, відповідно функцій язика, смоктання пальця або предметів (ручки, олівці і тд), тощо. Встановили апарат для розширення щелепи з маленьким елементом - бусинкою, з якою має гратись язиком пацієнт тим самим змушуючи язик знаходитись в правильному положенні. Своїх цілей досягли і тепер зустрічаємось на планові огляди кожні пів року та контролюємо ріст та розвиток.

Серафіма, 7 років

Еліза, 6 років. Звуження верхньої та нижньої щелепи, дефіцит місця для прорізування фронтальної групи зубів, відсутність трем та діастем.

Діагноз: Звуження верхньої та нижньої щелепи, дефіцит місця для прорізування фронтальної групи зубів, відсутність трем та діастем. Пацієнт проживає закордоном, тому обрали незнімний апарат, розширили верхню щелепу, створили місце для прорізування постіний зубів 2 етапом дали міофункціональний апарат для формування правильного прикусу, та чекаємо на нашу маленьку пацієнтку.

Еліза, 6 років

Тимофій, 7 років. Пацієнт звернувся на консультацію після ортодонтичного лікування, де знімною пластинкою зводили проміжок між передніми зубами

Діагноз: Пацієнт звернувся на консультацію після ортодонтичного лікування, де знімною пластинкою зводили проміжок між передніми зубами. Було прийнято рішення відмінити пластинку та виготовити незамінний апарат для розширення верхньої щелепи (Marco Rossa), покращилась позиція передніх двох різців та створили місце для прорізування других постійних різців. Проміжок контролювали протягом лікування еластичним ланцюжком.

Тимофій, 7 років

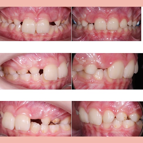
Емілія 5 років. Передчасна втрата зубчиків

Діагноз: Передчасна втрата зубчиків, вчасно встановлено 3 тримача місця(space maker), а це значить, що коли прийде час для прорізування постійних зубів - їм буде місце

Емілія 5 років

Іван, 10 років. Пацієнт звернувся зі зворотнім перекриттям у фронтальній ділянці, на нижніх різцях почали формуватись рецесії (зменшення рівня ясен) у звʼязку з перенавантаженням даної ділянки.

Діагноз: Пацієнт звернувся зі зворотнім перекриттям у фронтальній ділянці, на нижніх різцях почали формуватись рецесії (зменшення рівня ясен) у звʼязку з перенавантаженням даної ділянки. Зробили розімкнення зубних рядів завдяки накладкам(апарат McNamara), розширили верхню щелепу, та нормалізували положення положення нижніх різців. Відновлюємо положення центральної лінії та завершуємо лікування. Чим раніше привести дитину до ортодонта тим легше і комфортніше ми зможемо вирішити проблему.

Іван, 10 років

Статті не знайдено.

Більше статей

Послуги Лікаря

Запис на прийом

form image

Відгуки в Google наших пацієнтів

Дякуємо за звернення!

Очікуйте дзвінка від адміністратора найближчим часом

Заповніть форму, щоб отримати консультацію онлайн

Зняття гострого болю

Запис до лікаря

Запис на консультацію